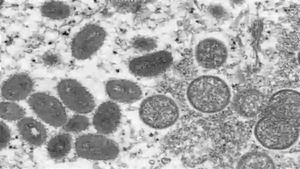
रुड़की: रुड़की के मोहम्मदपुर में मंकीपाक्स वायरस का एक संदिग्ध मरीज मिला है। 38 वर्षीय पुरुष में मंकीपाक्स के लक्षण मिले हैं। जिसके बाद हरिद्वार सीएमओ कार्यालय से एक टीम मरीज का सैंपल लेने के लिए रुड़की भेजी गई है। सिविल अस्पताल रुड़की से भी एक चिकित्सक टीम में शामिल हैं। स्वास्थ्य विभाग से मिली जानकारी के अनुसार मरीज की कोई ट्रेवल हिस्ट्री नहीं है। वहीं मरीज का सैंपल लेकर देहरादून मेडिकल कालेज में जांच के लिए भेजा जाएगा। मरीज के सैंपल की रिपोर्ट आने के बाद ही यह पता चल सकेगा कि मरीज को मंकीपाक्स है या नहीं।
मुख्य चिकित्साधिकारियों को निर्देश जारी
स्वास्थ्य महानिदेशक डा. शैलजा भट्ट ने मंगलवार को सभी जिलों के मुख्य चिकित्साधिकारियों को निर्देश जारी किए। एडवाइजरी में कहा गया है कि जिन लोग में बुखार के साथ शरीर पर लाल चकते जैसे लक्षण दिखाई देते हों, वह तुरंत अपनी नजदीकी चिकित्सक से संपर्क करें।
ऐसे व्यक्ति जिन्होंने पिछले 21 दिन में किसी ऐसे देश की यात्रा की है, जहां हाल ही में मंकीपाक्स के मामले मिले हैं, या फिर इस बीमारी के संदिग्ध मामलों की पहचान हुई है, वह भी चिकित्सक से जांच कराएं।
मंकीपाक्स से संक्रमित अथवा संदिग्ध व्यक्ति के संपर्क में आने वाले व्यक्ति भी अपनी जांच कराएं। सभी जिलों के सीएमओ को निर्देश दिए गए हैं कि मंकीपाक्स के संदिग्ध मरीजों को चिन्हित अस्पतालों में तब तक पृथक (आइसोलेट) किया जाएगा, जब तक कि संबंधित व्यक्ति के सभी घावों पर त्वचा की नई परत नहीं बन जाती है। इलाज कराने वाले चिकित्सक के आइसोलेशन समाप्त करने का निर्णय लेने पर ही मरीज को अस्पताल से डिस्चार्ज किया जाएगा।





